Was in der Datei landet … ist entweder ein Beweis oder eine unangenehme Überraschung.
Aber diese Überraschung ermöglicht uns, ein Problem abzustellen. Schmerz zu beenden.
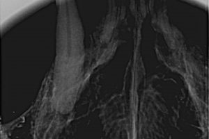
Für diesen Artikel habe ich einige Röntgenaufnahmen von Zähnen ausgewählt.
Fast alle Tiere haben nach den Aussagen ihrer Besitzer an Gewicht verloren. Einige sabberten. Eins kratzte sich die Wangen auf. Mehrere rochen übel aus dem Maul. Fast alle haben „irgendwie“ noch gefressen.
Wir schauen uns diese Tiere an, wiegen sie, nehmen gegebenenfalls Blutproben und versuchen noch am wachen Tier, die Maulhöhle zu untersuchen. Im Maul ist nicht immer viel zu sehen. Manche Tiere wollen sich einfach nicht untersuchen lassen. Oft lassen sie sich vor Schmerz und Angst den Fang nicht öffnen. Oft sind die Zähne schon vor längerer Zeit verloren gegangen. Manchmal verdeckt Zahnstein die Defekte am Zahn. Und manchmal sieht man an den Entzündungen im Zahnfleischsaum, daß etwas nicht stimmt. Nur selten sieht man direkt einen Defekt am Zahn. In der Regel sind die Wurzeln bei Katzen deutlich stärker geschädigt als man vom Blick auf das Zahnfleisch wahrnehmen kann. Die aktuelle Bezeichnung ist „resorptive Läsionen“.
In solchen Fällen bringt das Röntgengerät die Wahrheit ans Licht. Da das Tier während der Aufnahmen still liegen muss, wird es mindestens sediert. Wenn Zahnstein vorhanden ist, muß der zuerst weg: Zahnstein wirkt in der Röntgenaufnahme wie Knochen und verfälscht so die Aufnahmen.
Das Titelfoto zeigt ein Nagetier. Es schnupfte, die Zähne mussten regelmäßig gekürzt werden. Das Röntgenbild zeigt, daß die Ursache für den Problemkomplex ein Tumor oder eine sehr massive Entzündung war.

Vom Unterkieferdolchzahn dieser Katze war einfach nur die Krone weggebrochen. Die Wurzeln mitsamt den Nerven waren im Knochen steckengeblieben. Sowas tut wirklich furchtbar weh.

Hier waren die Zahnkronen bereits vor längerer Zeit verloren gegangen. Der Kater hatte jedoch Schmerzen: er hat sich immer wieder die Wange aufgekratzt. Erst als die Wurzeln entfernt waren, hörte er damit auf.

Auch dieser Dolchzahn schmerzte, obwohl es „nur“ wie eine Zahnfleischtasche aussah.

Hier war ebenfalls ein Rest vom Dolchzahn im Oberkiefer verblieben.
Tiere können nicht um Abhilfe für ihre Schmerzen bitten. Sie ertragen den Schmerz, versuchen ihn wegzukratzen oder wegzubeißen und verletzen sich dabei immer wieder. Manche werden auch übellaunig und ziehen sich zurück.
Viele verlieren an Gewicht, weil sie nicht mehr genug fressen können. Der Schmerz zehrt an ihnen. Bakterien stören die Wundheilung und verursachen zusätzlich schmerzhafte Entzündungen, üblen Maulgeruch und im schlimmsten Fall durch die Abschwemmung im Kreislaufsystem Probleme an anderen Körperstellen.
Die Wurzelreste müssen zuverlässig entfernt werden, damit der Schmerz aufhört. Alle Medikamente können nur kurzfristig Linderung bringen.
Die Operation ist teilweise sehr aufwendig. Die Wurzelreste liegen versteckt im Knochen. Der beste Weg ist meistens, sie mit einer Fräse freizulegen und seitlich herauszuheben. Danach muss das Zahnfleisch über dem entstandenen Loch genäht werden. In der Regel versucht man, alles in einem Arbeitsgang zu erledigen. Daher kann eine solche Operation über 2 Stunden dauern.
Maren Bestmann-Auchter
Tierärztin

Neueste Kommentare